前歯のインプラント治療症例
| 主訴 | 前歯をきれいにしたい 被せ物が取れた |
|---|---|
| 初診時年齢 | 40歳後半/女性 |
| 治療期間 | 1年 |
| 治療費用 | 骨造成費用:5.5万円~11万円 インプラント治療費用:33万円~38.5万円 上部構造費用:6.6万円~13.2万円 |
| リスクと副作用など | インプラント治療のリスクと副作用について |


奥歯のインプラント治療症例
| 主訴 | 奥歯の銀歯が取れた |
|---|---|
| 初診時年齢 | 40歳代/男性 |
| 治療期間 | 半年 |
| 治療費用 | 骨造成費用:5.5万円~11万 インプラント治療費用:33万円~38.5万円 上部構造費用:6.6万円~13.2万円 |
| リスクと副作用など | インプラント治療のリスクと副作用について |


奥歯のインプラント治療症例(2本)
| 主訴 | 歯が割れて入れ歯ができない 噛めるようになりたい |
|---|---|
| 初診時年齢 | 50歳代/男性 |
| 治療期間 | 半年 |
| 治療費用 | インプラント治療費用:33万円~38.5万円×2=66万円~77万円 上部構造費用:6.6万円~13.2万円×2=13.2万円~26.4万円 |
| リスクと副作用など | インプラント治療のリスクと副作用について |



奥歯のインプラント治療症例(2本)
| 主訴 | 入れ歯が合わない 取り外しをしなくていい治療方法で治したい |
|---|---|
| 初診時年齢 | 70歳代/女性 |
| 治療期間 | 半年 |
| 治療費用 | インプラント治療費用:33万円~38.5万円×2=66万円~77万円 上部構造費用:6.6万円~13.2万円×2=13.2万円~26.4万円 |
| リスクと副作用など | インプラント治療のリスクと副作用について |


奥歯のインプラント治療症例(4本)
| 主訴 | 奥歯でしっかり噛みたい |
|---|---|
| 初診時年齢 | 50歳代/女性 |
| 治療期間 | 1年 |
| 治療費用 | インプラント治療費用:33万円~38.5万円×4=132万円~154万円 上部構造費用:6.6万円~13.2万円×4=26.4万円~52.8万円 |
| リスクと副作用など | インプラント治療のリスクと副作用について |


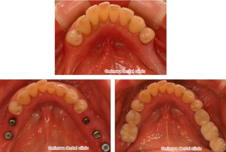
奥歯のインプラント治療症例(5本)
| 主訴 | 入れ歯が合わない 奥歯でしっかり噛みたい |
|---|---|
| 初診時年齢 | 50歳後半/女性 |
| 治療期間 | 1年半 |
| 治療費用 | インプラント治療費用:33万円~38.5万円×5=165万円~192.5万円 上部構造費用:6.6万円~13.2万円×5=33万円~66万円 |
| リスクと副作用など | インプラント治療のリスクと副作用について |













